審美歯科とは、美しさに焦点をあてた総合的な歯科医療のことです。
ただ白い歯の被せものを作ったり、ホワイトニングをして歯を白くし見た目だけを奇麗にするのが審美歯科ではありません。機能と美しさを兼ね備えた『健康美』こそが本当の『審美』だと考えて、治療を行っています。
『その年代にあったお口の健康と健康美』が,にしむら歯科医院の考える審美歯科です。
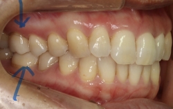
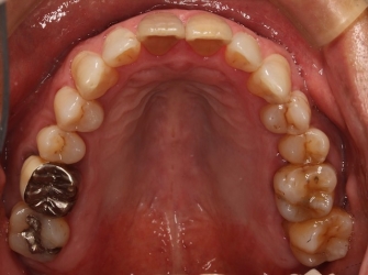
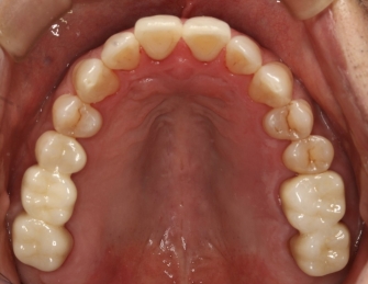
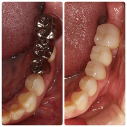
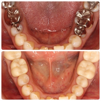
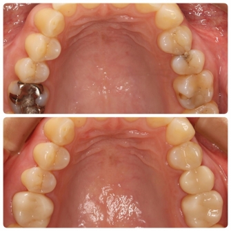
当歯科医院で行った治療前後の症例については、いつでもご覧いただけるように待合室に症例集を置いています。
どうぞご覧ください。
また、当歯科医院は保証期間を設けています。
せっかく時間と費用をかけたのに、すぐにやり替えることになってしまった、
また費用を請求された、と歯科治療に不安をお持ちの患者様がいらっしゃいます。
当歯科医院では安心して治療をお受けいただくためにも保障期間がありますので、どうぞご安心ください。









