「移植」とは、むし歯や歯周病などで失ったところに、自分自身の違う場所にあった歯を移し入れる方法をいいます。自分の歯を利用する自家歯牙移植ともいいます。
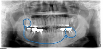
残念ながら左下第二大臼歯を歯牙破折のため抜歯することになりました。すでに第一大臼歯を失っていますので、部分入れ歯かインプラント治療で歯を作ることになりますが、院長より右上第三大臼歯(親知らず)を移植する治療法を提案し、患者さんも高額なインプラントよりも保険適応の歯牙移植を希望されました。
◎左写真 初診時、移植前の写真
右上の親知らずを、左下の第二大臼歯(歯牙破折のため抜歯になったため)に移植する外科処置を行いました。
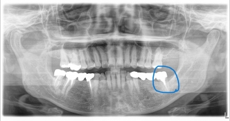
◎右写真 移植後 10年経過のレントゲン写真
自分の歯ですから、生体に対して優しく、歯の機能を生かした方法で、条件が合えばとても有効な方法です。ただし、移植する歯は、歯の大きさが適しているか、歯周病が進行している歯ではないか、比較的健全な歯であることが条件になります。
定期的に経過を見させていただく必要はありますので定期健診には必ずお越しいただきます。



