磨いていても「磨けていない」ことが原因で
虫歯や歯周病が進行してしまっている現状があります。
30代から40代にかけては、歯周病の有病率が顕著に上昇する時期です。厚生労働省の歯科疾患実態調査によると、30代では約7割、40代では約8割の人が何らかの歯周病を抱えているとされています。
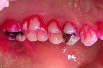
歯が赤く染まっているのは磨き残しの歯垢(プラーク)です。磨いているつもりでもどうしても残ってしまう磨き残しをきれいにすることは、虫歯や歯周病の予防だけではなく、高齢者の方の場合は「誤嚥性肺炎」の予防にもつながります。
歯科医院に来られなくてもご自身できれいに歯磨きできることが理想だと思いますが、なかなか難しいと感じる方も多いことでしょう。
悪いところは治療を行い、その後は上手に歯科医院を使用してもらえればと考えています。医療機関の利用は治療目的ではなく、健康長寿を延ばしていくことを目的とした利用法を推奨いたします。



