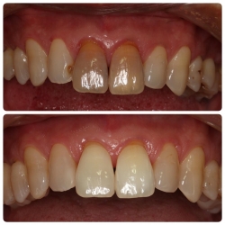
☆上写真 真ん中2本 処置前
☆下写真 ウォーキングブリーチ後
ウォーキングブリーチ(漂白)とは、神経を失って変色してしまった歯(失活歯)の内側に、歯を白くする薬剤を直接注入し、内側から漂白していく治療法です。通常のホワイトニングが歯の表面に薬剤を塗布するのに対し、ウォーキングブリーチは歯の内部からアプローチするため、外部からのホワイトニングでは効果が出にくい失活歯の変色に特に有効とされています。
「ウォーキング」という言葉が示す通り、薬剤を歯の中に入れた状態で数日間過ごしていただき、その間にじっくりと漂白効果を発揮させます。通常、数回薬剤を交換することで、少しずつ歯の色を改善していきます。差し歯になると歯を一周削る必要が起きますが、この場合は薬を入れるために裏側から少し削る程度なので、歯への負担が少ない点が大きな特徴です。
☆失活歯(神経を取って変色した歯)の中でも歯質がある程度しっかり残っている場合が適応になります。
被せて白くするセラミックよりも安価で自分の歯を活かせる治療になります。適応かどうかはご相談ください。
初回7000円(税別)
薬剤交換 1回1500円程度
反応によりますが、2,3回程度薬剤交換することが多いです。


