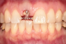
一番左写真は歯が折れてしまい、根っこだけの状態になってしまい、温存するために部分矯正中の写真です。
(表に仮歯をつけますので、見た目はおかしくない状態で過ごしていただきます)
「抜くしかできない」という診断も想定できますが、
抜いてしまうと保険外治療のインプラントか
保険内治療は部分入れ歯かブリッジ
(両端の歯を虫歯でないけれど削ることになります)の選択肢になります。
この場合は院長の提案により、
MTM(部分矯正・Minor Tooth Movement)といって、
健全な根っこを部分矯正でひっぱり出すことで抜かずに温存する治療を行うことになりました。
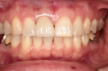
真ん中写真は部分矯正後、被せ物(保険診療・前装冠)を入れ治療終了時です。
どのくらい持つかは不明でしたので自費治療はお勧めしませんでしたが、
治療終了後10年が経過していますが、現在もよい状態が保てています!
先日の定期健診の際も、「随分持っていますね」
と大変満足されていました。
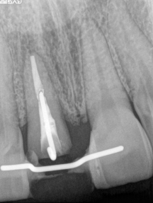
右写真は部分矯正中の装置が入ったレントゲン
治療途中の特別な痛みはありません。
【費用】初回器具装着時 7万円 その後調整費用 一回1~2千円
【期間】1~2カ月程度
現在もできるだけ自分の歯を持たせたい、という患者様に
このMTM(部分矯正)を数件行っています。
いきなり「抜いてインプラント」ではなく、
まずは「がんばって残してみる」という治療をご希望の方はご相談ください。
※虫歯が進行しすぎている場合や、大臼歯、
根が完全に二つに割れている場合は適応外になります。




