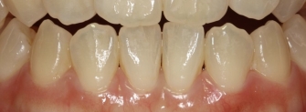
そして歯肉が赤く腫れている状態です。
☆左写真 治療前
☆右写真 歯石除去後
原因は磨き残しの歯垢(プラーク)が残っていること、
長期にわたって磨き残しが溜まってしまい
固い歯石になっています。
正しい歯磨きの仕方をお教えし、
歯石を丁寧に取り除くことにより
右写真のように歯肉が引き締まり健康に改善されました!
(少し歯と歯の間に新しい歯石がありますが簡単に取り除ける程度で歯肉は出血もなく健康です)
治療前後の写真をお見せするととても喜んでいらっしゃいました。
私たち歯科衛生士にとってもやりがいを感じる瞬間です。
注意しないといけない点は
このケースでは歯間ブラシは使う指導は行いません。
歯間ブラシを使った方がいい場合と
使ってしまうと健全な歯肉が損なわれる場合があります。
歯ブラシの選び方、正しい当て方をお伝えします。
現在はよい状態を維持するため、3カ月健診とクリーニングに来られています。
歯石を取ると一言でいうのは簡単ですが、
歯肉の中深くについている場合は簡単には取り除けません。
当歯科では歯周病治療にも力を入れていますので、
歯科医師も歯石の取り残しがないかチェックします。
歯石の取り残しが原因で歯周病が進行していまうことがないように
当歯科では歯石の取り残しがないかを重要視しています。
いずれも保険内治療で行えます。
歯肉の健康が気になる方は是非ご相談ください。



