前歯の場合は、色合わせが精密になるため、12万円(税別)となります。
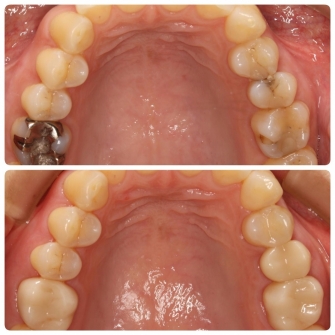
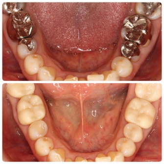
☆上写真 治療前
☆下写真 治療後
最近は銀歯からセラミックに変えたい、という患者様が増えてきました。
「前は歯医者が嫌いだったが、どんどんきれいになっていくので、自分の歯を見るのがうれしい」
「歯医者に来るのが楽しみになってきた!」とおっしゃり、こちらもとても励みになり嬉しい気持ちになります。
せっかくきれいになったので、再治療の必要が起きないように責任を持って診させていただきます。



