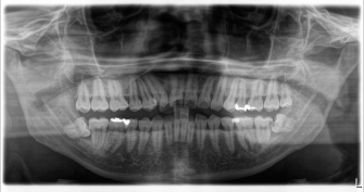
当歯科ではレントゲンをお取りしたり、現状を記録するためにお口の写真を撮らせてもらっています。左のの大きなレントゲンは3割負担の方で1200円、右のお口の写真は150円です。実際にお口の状態を目で見てもらうと一目瞭然。経過を比べると歯肉がどれくらい健康になってきているか、きれいになっているがわかります。そしてそれを記録することに意味があります。
処置も症状が出る前のほうが簡単に済むことが多いです。当歯科では2年に一度はこのレントゲンを撮らせてもらって経過を見ることにしています。症状があればその都度大きいレントゲンではなく、部分的なレントゲンを撮って確認することもあります。小さいレントゲンは150円くらいです。
最初だけレントゲンを撮ると治療費は高めになりますが、頻繁に撮るものではありませんのでご安心ください。痛くなる前の早めの治療と、定期的な健診とクリーニングの大切さを実感する日々です。ご質問がございましたらいつでもお尋ねください。



